Castleman Hastalığı Nedir?

08.03.2025 5 Dakika oku Genel Cerrahi
 MEDILURA
MEDILURA Yazar / Doktor
Castleman Hastalığı Nedir?
Dinle:
Castleman Hastalığı Nedir?

Castleman Hastalığı Nedir?

Castleman hastalığı, lenf bezlerinin anormal büyümesine neden olan nadir bir hastalıktır. Lenf bezleri, vücudun bağışıklık sisteminin önemli bir parçasıdır ve enfeksiyonlarla savaşmaya yardımcı olur. Castleman hastalığında ise, lenf bezleri aşırı büyür ve şişer, bazen önemli ölçüde ağrı ve diğer semptomlara yol açar. Bu hastalığın iki ana formu vardır: Unicentric Castleman hastalığı (UCD) ve Multicentric Castleman hastalığı (MCD). Her iki form da farklı özelliklere ve tedavi yaklaşımlarına sahiptir.

Unicentric Castleman Hastalığı (UCD)

UCD, genellikle tek bir lenf bezinin büyümesiyle karakterizedir. En sık göğüs, boyun veya koltuk altlarında görülür. Genellikle yavaş ilerler ve çoğu durumda cerrahi olarak çıkarılan lenf bezi ile tedavi edilebilir. UCD genellikle iyi huylu (kanserli olmayan) bir hastalıktır, ancak bazı vakalarda tekrarlama olasılığı vardır. UCD'li hastaların çoğu, ameliyat sonrası uzun süreli takip gerektirir ve düzenli kontrollerle hastalığın nüks edip etmediği izlenir.

Multicentric Castleman Hastalığı (MCD)

MCD, vücudun çeşitli bölgelerindeki birden fazla lenf bezinin büyümesiyle karakterizedir. Bu durum, UCD'den çok daha ciddi olabilir ve birçok sistemik semptoma neden olabilir; bunlar arasında ateş, gece terlemesi, kilo kaybı, anemi, karaciğer ve dalak büyümesi, böbrek yetmezliği ve sinir sistemi problemleri bulunur. MCD'nin bazı formları HHV-8 (Human Herpesvirus 8) virüsü ile ilişkilidir ve bu durum hastalığın daha agresif bir seyir izlemesine katkıda bulunabilir. Tedavide kemoterapi, kortikosteroidler ve diğer immünosüpresif ilaçlar kullanılır ve hastalığın ciddiyetine ve hastanın genel durumuna bağlı olarak tedavi planı kişiselleştirilir.

Teşhis ve Tedavi

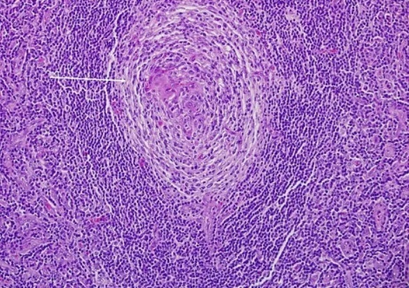
Castleman hastalığının teşhisi, fizik muayene, kan testleri, görüntüleme teknikleri (örneğin, BT taraması veya MRI) ve lenf bezinin biyopsisi ile yapılır. Biyopsi, lenf bezinin bir örneğinin mikroskop altında incelenmesini içerir ve hastalığın türünü ve şiddetini belirlemede hayati önem taşır. Tedavi, hastalığın türüne, şiddetine ve hastanın genel sağlık durumuna bağlı olarak değişir. UCD genellikle cerrahi olarak tedavi edilirken, MCD için daha kapsamlı bir yaklaşım gerekebilir.

Araştırma ve Gelişmeler

Castleman hastalığı nadir olduğu için, araştırma çalışmaları sınırlıdır. Ancak, son yıllarda hastalığın patofizyolojisi ve tedavisi hakkında önemli ilerlemeler kaydedilmiştir. Yeni tedavi seçeneklerinin geliştirilmesi ve mevcut tedavilerin etkinliğinin artırılması için klinik çalışmalar devam etmektedir. Özellikle MCD'nin tedavisinde, daha hedefli ve yan etkileri daha az olan yeni ilaçlar üzerinde çalışmalar yoğunlaşmıştır. Bu gelişmeler, hastalığın prognozunu iyileştirme potansiyeline sahiptir.

Yaşam Kalitesi ve Destek

Castleman hastalığı, hastaların yaşam kalitesini önemli ölçüde etkileyebilir. Yorgunluk, ağrı ve diğer semptomlar günlük aktiviteleri zorlaştırabilir. Hastalar için destek grupları ve psikolojik destek çok önemlidir. Hastalık hakkında bilgi edinmek, tedavi seçeneklerini anlamak ve diğer hastalarla bağlantı kurmak, hastalarla başa çıkma yeteneklerini artırabilir. Bir hekim veya hasta destek grubuyla iletişime geçerek, hastalar gerekli desteği ve bilgileri alabilirler.

Sıkça Sorulan Sorular

  • Castleman hastalığı bulaşıcı mıdır? UCD genellikle bulaşıcı değildir, ancak MCD'nin bazı formları HHV-8 virüsü ile ilişkilidir. Ancak, HHV-8'in yayılması, kan veya diğer vücut sıvılarıyla yakın temas gerektirir.
  • Castleman hastalığı tedavi edilebilir mi? UCD genellikle cerrahi olarak tedavi edilebilir. MCD için tedavi daha karmaşıktır ve hastalığın şiddetine bağlı olarak değişir, ancak yönetilebilir.
  • Castleman hastalığının uzun vadeli etkileri nelerdir? Uzun vadeli etkiler hastalığın türüne ve şiddetine, ayrıca tedaviye verilen yanıta bağlıdır. Bazı hastalar tamamen iyileşirken, diğerleri uzun süreli takip ve tedavi gerektirebilir.
  • Castleman hastalığına yakalanma riskini artıran faktörler nelerdir? Tam olarak bilinmemektedir, ancak bazı genetik faktörlerin ve HHV-8 enfeksiyonunun rol oynadığı düşünülmektedir.

Not: Bu blog yazısı sadece bilgi amaçlıdır ve tıbbi tavsiye olarak düşünülmemelidir. Castleman hastalığı ile ilgili herhangi bir endişeniz varsa, lütfen bir sağlık uzmanıyla görüşün.

Doktorlarımızın Makaleleri

Hacamat Kimlere Yapılmaz?

Hacamat, İslam tıbbında ve geleneksel alternatif tıp uygulamalarında binlerce yıldır kullanılan bir ...

Uzm.Dr. Burak Aydın 02.02.2025
Ozon Tedavisi: Faydaları ve Zararları Nelerdir?

Ozon tedavisi, alternatif tıbbın son yıllarda popülerlik kazanan yöntemlerinden biridir. ...

Uzm.Dr. Burak Aydın 02.02.2025
Mezoterapi (Gençlik Aşıları)

Mezoterapi, problemli derinin orta katına mikro iğneler ile bazı ilaçların enjeksiyonu demektir. Bu ...

Op.Dr. Refika Ceylan 04.11.2024
Rinoplasti & Septorinoplasti (Burun Estetiği)

Rinoplasti yani burun estetiği en çok uygulanan estetik cerrahi işlemler arasındadır. Burnu yeniden ...

Op.Dr. Refika Ceylan 02.11.2024
Dehb hastalık mıdır?

Dikkat Eksikliği ve Hiperaktivite Bozukluğu (DEHB), bir hastalık olarak değil, bir nörogelişimsel bo...

Psk. Şeval Polat 18.03.2025
Menopoz Sonrası Vajinal Atrofi

Menopoz Sonrası Vajinal Atrofi (kuruluk, incelme) tedavisinde kullanım ve vajinal gençleştirme...

Op.Dr. Alev Özdemir Karabağ 14.02.2025
Vajinal Sıkılaştırma Tedavisi

Fotona Smooth pelvik tabandaki işlev bozukluklarının belirtilerini azaltmak, pelvik taban desteğini ...

Op.Dr. Alev Özdemir Karabağ 14.02.2025
Mastopexy (Meme Dikleştirme Ameliyatı)

Mastopeksi, meme dokusunu ve nipple-areola kompleksini ideal pozisyonuna getirilerek meme pitozunun ...

Op.Dr. Refika Ceylan 03.11.2024
Faranjit Nedir? Tedavisi, Belirtileri ve Nedenleri Nelerdir?

Faranjit, boğazın arka kısmında bulunan farinks dokusunun iltihaplanmasıyla ortaya çıkan yaygın bir ...

Uzm.Dr. Burak Aydın 02.02.2025